Before & After - Stebbins Dental Studio | Whitefish MT

Before & After

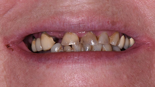
Incredible results and inspiring journeys – check out some of our patients' before and after photos.

  • Bonding - Naturally narrow teeth left spaces after orthodontics.  Bonded composite restorations filled in smile.

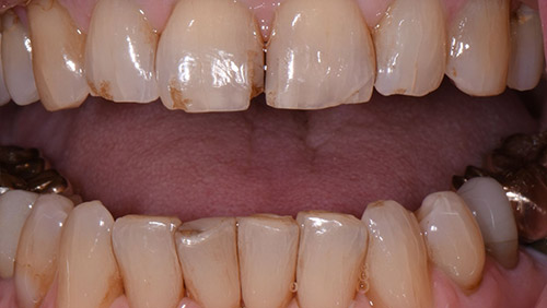
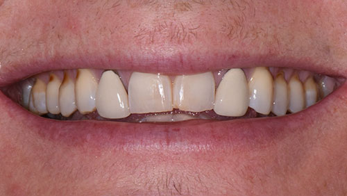
  • Bonding/Crowns - Old porcelain/metal crowns were replaced and bonding on centrals even out smile line.

  • Bonding - Discolored and chipped restorations were replaced for a brighter smile.

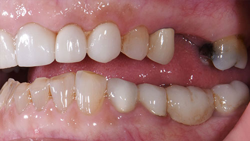
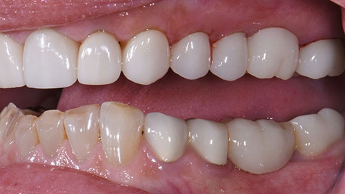
  • Implant/Veneer - An Implant Bridge to replace missing teeth and a veneer on a chipped tooth.

  • Bonded composite restorations to close space between teeth and repair chipped front teeth.

  • Implant to replace missing front tooth.

  • Full Upper Denture.

  • Four Unit Bridge replacing missing molar.

  • Full crowns on lower arch.

  • Porcelain Veneers.

  • Porcelain Veneers.

sesame communicationsWebsite Powered by Sesame 24-7™  |  Site Map